Endovascular correction in a patient with diabetic foot syndrome with TASC D leg artery lesion (clinical case)
- Autores: Parovatkin M.I.1, Matyukhin V.V.1,2, Legkii A.V.2, Golbraykh V.А.1, Strepetov N.N.1, Maskin S.S.1
-
Afiliações:
- Volgograd State Medical University
- Municipal Clinical Emergency Hospital № 25
- Edição: Volume 22, Nº 2 (2025)
- Páginas: 19-25
- Seção: Articles
- ##submission.datePublished##: 26.07.2025
- URL: https://vestnik-pp.samgtu.ru/2658-4514/article/view/688296
- DOI: https://doi.org/10.19163/2658-4514-2025-22-2-19-25
- ID: 688296
Citar
Texto integral
Resumo
According to the Russian Ministry of Health, diabetes mellitus currently accounts for 3.3 % of the Russian population. The most dangerous consequences of the global diabetes epidemic are systemic vascular complications, in particular, lesions of the peripheral vessels of the lower extremities. A necessary condition for stopping infectious and trophic processes in case of obstruction of limb vessels is the restoration of the main blood flow. In recent years, preference has been given to endovascular revascularization methods. The aim of the work is to demonstrate a clinical observation and evaluate the effectiveness of endovascular transluminal balloon angioplasty (TLBA) for the correction of TASC D leg lesions in a patient with diabetic foot syndrome (DFS), as well as to analyze the literature data on the use of this technique in lower extremity vascular lesions. Material and methods. The clinical part of the work was carried out on the basis of the surgical departments of the State Healthcare Institution City Clinical Hospital of Emergency Medical Care No. 25 of Volgograd. Traditional research methods were used to diagnose lower extremity vascular lesions: duplex scanning of the lower extremity vessels, selective angiography of the arteries of the left lower extremity. The information bases were the following data: PubMed, CyberLeninka, Google Scholar, Medline, eLIBRARY and the Russian Diabetes Registry of 2021. Results. A review of studies devoted to the study of the possibilities of lower extremity revascularization in the treatment of patients with diabetic foot syndrome shows that TLBA in patients with critical limb ischemia to preserve it costs the state 4–7 times less than amputations and subsequent stages of prosthetics and rehabilitation. Reconstructive surgeries give positive results of limb revascularization in 70–80 %. The article presents a clinical observation demonstrating the possibility and effectiveness of endovascular balloon angioplasty as one of the options for endovascular correction in purulent-necrotic lesions of the foot in a patient with diabetic foot syndrome against the background of TASC D leg artery lesions. Conclusion. Transluminal balloon angioplasty against the background of critical ischemia of the leg arteries in patients with diabetes mellitus can be considered as the operation of choice for limb salvation.
Texto integral
В 2020 г., по данным Министерства здравоохранения России, число больных сахарным диабетом (СД) приблизилось к 4,8 млн человек (3,23 % населения РФ) [1]. Больные СД в 5 раз чаще страдают атеросклеротическими поражениями сосудов нижних конечностей, а у каждого десятого пожилого больного СД возникают различные варианты гнойно-некротических поражений нижних конечностей, которые в 30–50 % случаев заканчиваются высокой ампутацией, летальность при этом колеблется от 28 до 40 % [2, 3].
Диабетическая ангиопатия в сочетании с атеросклерозом имеет ряд специфических патофизиологических проявлений, поэтому лечение этой группы пациентов представляет определенные трудности. Атеросклеротические поражения при СД развиваются особенно часто в большеберцовых артериях, обеспечивающих прямой приток крови к стопе, с высокой распространенностью их протяженных окклюзий [4]. Неблагоприятные исходы связаны с сочетанием ряда факторов, включающих анатомическое распространение сосудистых окклюзий, наличие инфицированных трофических язв, поражения нервной системы, почечной недостаточности, развитие атеросклеротического процесса в коронарных и мозговых артериях [5, 6].
Присоединение инфекции и ее чрезвычайно быстрое распространению в ишемизированной диабетической стопе требует немедленного вмешательства, включающего активную хирургическую обработку очага инфекции с удалением всех некротических тканей, адекватное дренирование ран, проведение рациональной антибактериальной терапии [7].
Целью хирургического лечения при этом является сохранение полезной функции конечности путем удаления минимального количества измененных тканей.
В случаях тяжелой ишемии для успешной борьбы с инфекционным процессом необходима реваскуляризация (РВ) дистальных отделов нижней конечности. Современные данные свидетельствуют о том, что РВ оказывает положительное влияние на кровоток, перфузию, системную функцию эндотелия, на заживление ран и спасение конечности [8].
В 1987 г. G. I. Taylor и J. H. Palmer ввели анатомическую концепцию, в соответствии с которой стопа может быть разделена на трехмерные блоки ткани, каждый со своей собственной питающей артерией. Прямая РВ приводит к восстановлению пульсирующего кровотока через питающую артерию в область локализации язвы, в то время как при непрямой РВ кровоток восстанавливается через коллатеральные сосуды, выходящие из соседних ангиосом [9]. РВ за счет восстановления прямого кровотока к одной из артерий стопы, питающей анатомическую область раны, улучшает ее заживление, способствует устранению инфекции, предотвращает или ограничивает уровень ампутации [10].
У больных с диабетической ангиопатией имеется многоуровневое окклюзионно-стеноти-ческое поражение артериального русла, что создает проблемы с восстановлением кровотока у этих пациентов. По данным TASC (TransAtlantic Society Consensus) [11], были прослежены результаты лечения наиболее тяжелых больных, которым нельзя было выполнить реваскуляризацию либо она была безуспешной. Оказалось, что в течение шести месяцев 25 % пациентов умерли, 30 % – перенесли высокую ампутацию, у 20 % – сохранялась критическая ишемия конечности. Хирургическая реваскуляризация снижает частоту высоких ампутаций при критической ишемии с 95 до 25 % [10]. Однако до сих пор нет единого мнения о показаниях, времени выполнения реконструктивных и эндоваскулярных вмешательств.
По морфологии поражения бедренно-подко-ленного сегмента выделяют следующие категории больных (рекомендации TASC): тип А – единичный стеноз длиной менее 3 см; тип В – единичный стеноз длиной 3–10 см, не затрагивающий дистальный сегмент подколенной артерии, множественные поражения каждое длиной менее 3 см; тип С – единичный стеноз или окклюзия длиной более 10 см; тип D – окклюзия общей бедренной артерии или полная окклюзия подколенной артерии и проксимальной трифуркации [11].
Восстановление кровотока как с помощью хирургического, так и эндоваскулярного доступа является важным терапевтическим вариантом лечения атеросклеротических поражений у больных СД, а баллонная ангиопластика и стентирование стали золотым стандартом при проведении процедур восстановления кровотока у пациентов с синдромом диабетической стопы и гангреной [12]. Эти пациенты, как правило, имеют тяжелое поражение подколенных и большеберцовых артерий с распространенными протяженными сегментарными кальцинированными окклюзиями, что создает технические сложности при проведении РВ [13, 14]. Эндоваскулярные медоды лечения требуют индивидуального подхода, но для вмешательства на инфрапоплитеальных сосудах предпочтительна баллонная ангиопластика [10]. Существенным недостатком чрескожной баллонной ангиопластики является высокая частота рестенозов: так, через 3 года от момента проведения вмешательства проходимыми остаются только 65 % «леченых» артерий [9].
Важно отметить, что сопутствующее заболевание артерий нижних конечностей у пациентов с язвами диабетической стопы связана с большей частотой неудач заживления ран и необходимостью ампутации. Эта ассоциация является сложной, и различные исследования показали, что успешная РВ и заживление язвы не всегда коррелируют [15].
Цель работы
Представить клиническое наблюдение эффективного применения эндоваскулярной транс-люминальной балонной ангиопластики (ТЛБП) для коррекции поражений голени класса TASC D у больной с синдромом диабетической стопы (СДС).
Методика исследования
Клиническая часть работы проводилась на базе хирургических отделений ГУЗ ГКБСМП № 25 г. Волгограда.
Для диагностики поражения сосудов нижних конечностей и определения показаний к операции использованы традиционные методы исследования: клинико-лабораторные обследования, дуплексное сканирование сосудов нижних конечностей, селективная ангиграфия артерий левой нижней конечности.
Результаты исследования и их обсуждение
Клиническое наблюдение, представленное ниже, показывает возможности комплексного (в т. ч. эндоваскулярного) лечения больных с гнойно-некротической формой СД в сочетании с заболеванием артерий нижних конечностей.
Больная М., 63 лет, поступила в срочном порядке в хирургическое отделение ГУЗ ГКБСМП № 25 с жалобами на боли в области левой стопы, повышение температуры до 38 °С.
Анамнез заболевания. Больна в течение недели, когда после физической нагрузки появились боли на подошвенной поверхности левой стопы. В последующем боли усилились, появилась припухлость, краснота, повышение температуры. В течение 14 лет страдает сахарным диабетом.
Общее состояние средней тяжести. Локальный статус. На подошвенной поверхности левой стопы отек, гиперемия на площади до 8 × 10 см, в центре участок флюктуации. Пульсация на подколенной и периферических артериях стопы слева не определяется.
Консультирована терапевтом, эндокринологом. Диагноз основной: Сахарный диабет 2-го типа. Диабетическая ангиопатия нижних конечностей. Флегмона левой стопы.
Сопутствующая патология: ИБС ФК1. Кардиосклероз. ХСН 1 ст. ФК 2. Гипертоническая болезнь 2 ст., артериальная гипертензия 3, риск 4.
В срочном порядке выполнена операция – вскрытие флегмоны. В послеоперационном периоде – перевязки, в т. ч. некрэктомии. Рана 10 × 6 см, в глубине подошвенный апоневроз, отделяемое серозно-гнойное, грануляции вялые, тусклые. Выполнено дуплексное сканирование сосудов нижних конечностей. Левые общая, глубокая и поверхностная бедренные артерии проходимы, не стенозированы. В подколенной артерии стеноз 50 % просвета, в артериях левой голени магистральный кровоток не определяется. Консультация ангиохирурга.
Заключение. Сахарный диабет 2-го типа. Диабетическая ангиопатия нижних конечностей в сочетании с облитерирующим атеросклерозом. Стеноз подколенной артерии слева, окклюзия передней и задней большеберцовых артерий слева, тип D по TASC. Рекомендовано эндоваскулярное вмешательство.
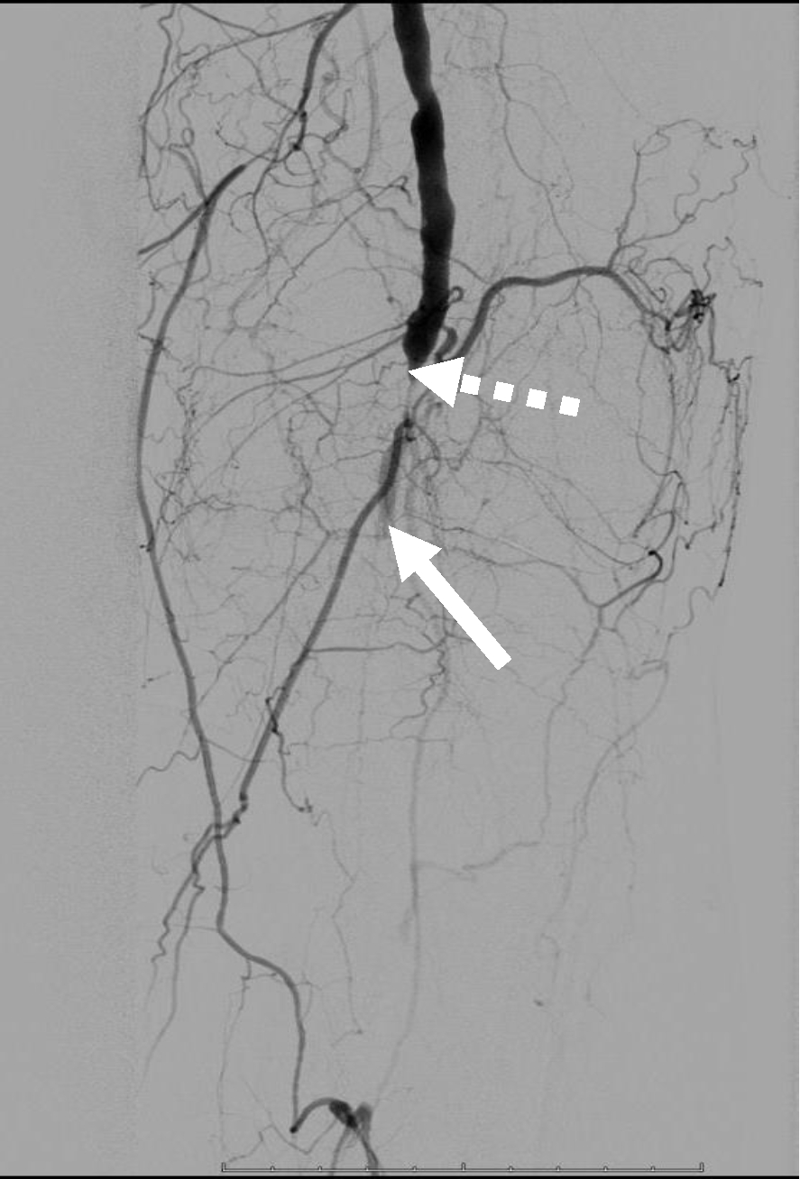
Операция. Транслюминальная баллонная ангиопластика (ТЛБАП) подколенной артерии, тибиоперонеального ствола слева. Под м/а выполнена пункция левой бедренной артерии, установлен интродьюсер 6 Fr. Выполнена селективная ангиграфия артерий левой нижней конечности при которой выявлена субокклюзия подколенной артерии и окклюзия тибиоперонеального ствола (рис. 1). Выполнена ТЛБАП в зоне субокклюзии баллоном 5,0 × 40 мм, давление 8 атм. В области тибиоперонеального ствола ТДБАП баллоном 3,0 мм × 100 мм, давление 10 атм. Получен хороший антеградный кровоток в подколенной, заднебольшеберцовой и малоберцовой артериях (рис. 2). Передняя большеберцовая артерия окклюзирована.
Рис. 1. Ангиограмма больной М. до ангиопластики. Стеноз подколенной артерии (прерывистая стрелка). Окклюзия артерий голени (сплошная стрелка)
Рис. 2. Ангиограмма больной М. после ангиопластики. Восстановление магистрального кровотока в проксимальном (а) и дистальном (б) отделах голени
Послеоперационный период без осложнений. Со стороны раны положительная динамика, заживление вторичным натяжением.
Главным компонентом в лечении пациентов трофическими поражениями нижних конечностей на фоне СДС и нарушения проходимости сосудов голени является адекватная реваскуляризация. Любые попытки консервативной терапии без восстановления проходимости сосудов не приводят к положительному результату [10]. Согласно данным современной литературы ТЛБАП и стентирование подколенных артерий и артерий голени является предпочтительным методом РВ у больных с СДС [14].
При анализе данных публикаций за последние 5 лет можно отметить тенденцию к увеличению числа малоинвазивной эндоваскулярной РВ, для коррекции стенозов и окклюзий инфрапоплитеальных сосудов у больных с СДС [15], однако зачастую эти методы не применяются, что обусловлено рядом факторов, в частности, поздним направлением пациентов в специализированные отделения лечебных учреждений, отсутствием необходимого оборудования и расходных материалов, недостаточным информированием врачей и пациентов о возможностях данного метода.
Исходя из приведенного клинического наб-людения, а также основываясь на опыте работы с подобными пациентами, мы хотим показать, что применение рентгенэндоваскулярных вмешательств является эффективным методом РВ при стенозах и окклюзиях инфрапоплитеальных атрерий у больных с трофическими нарушениями на фоне СДС, что позволяет добиться заживления гнойно-некротических ран, замедлить прогрессирование процесса и, самое главное, избежать ампутации пораженной конечности.
Таким образом, мы считаем, что каждый пациент с окклюзией дистальных артерий нижних конечностей и трофическими нарушениями на фоне СДС должен быть рассмотрен на предмет необходимости и возможности проведения эндоваскулярной РВ.
Заключение
Проведенный обзор исследований демонстрирует, что реваскуляризация прочно вошла в широкую международную практику лечения при нейроишемической форме синдрома диабетической стопы. Эффективность подобных вмешательств подтверждена рядом исследований с высоким уровнем доказательности. Однако показания к применению отдельных методик реваскуляризации еще не полностью отработаны в зависимости от локализации стеноза, его протяженности, степени тяжести синдрома диабетической стопы, что требует дальнейшего изучения данной проблемы. В клиническом наблюдении показана эффективность эндоваскулярных вмешательств в коррекции поражений артерий голени класса TASC D у больной с синдромом диабетической стопы. Транслюминальную баллонную ангиопластику на фоне критической ишемии артерий голени у пациентов с сахарным диабетом можно рассматривать как операцию выбора для спасения конечности.
Sobre autores
M. Parovatkin
Volgograd State Medical University
Email: strelec1953@mail.ru
Candidate of Medical Sciences, Associate Professor of the Department of Hospital surgery
Rússia, VolgogradV. Matyukhin
Volgograd State Medical University; Municipal Clinical Emergency Hospital № 25
Autor responsável pela correspondência
Email: victor.matyukhin@gmail.com
Candidate of Medical Sciences, Associate Professor, Associate Professor of the Department of Hospital Surgery
Rússia, Volgograd; VolgogradA. Legkii
Municipal Clinical Emergency Hospital № 25
Email: legky@list.ru
Head of the Department of X-ray Surgical Methods of Diagnosis and Treatment
Rússia, VolgogradV. Golbraykh
Volgograd State Medical University
Email: golbrah@yandex.ru
Doctor of Medical Sciences, Professor, Professor of the Department of Hospital Surgery
Rússia, VolgogradN. Strepetov
Volgograd State Medical University
Email: nstrepetov@mail.ru
Assistant of the Department of Hospital Surgery
Rússia, VolgogradS. Maskin
Volgograd State Medical University
Email: maskins@bk.ru
Doctor of Medical Sciences, Professor, Head of the Department of Hospital Surgery
Rússia, VolgogradBibliografia
- Дедов И. И., Шестакова М. В., Викулова О. К., Железнякова А. В., Исаков М. А. Эпидемиологические характеристики сахарного диабета в Российской Федерации: клинико-статистический анализ по данным регистра сахарного диабета на 01.01.2021. Сахарный диабет. 2021;3(24):204–221. doi: 10.14341/DM12759.
- Mills J. L. Sr., Conte M. S., Armstrong D. G., Pomposelli F. B., Schanzer A., Sidawy A. N.. et al. The Society for Vascular Surgery Lower Extremity Threatened Limb Classification System: risk stratification based on wound, ischemia, and foot infection (WIfI). J Vasc Surg. 2014;59(1):220–234.e1–2. doi: 10.1016/j.jvs.2013.08.003.
- Vrsalovic M. Diabetes and peripheral artery disease: A bad combination. Am J Surg. 2018;216(1):182–183. doi: 10.1016/j.amjsurg.2017.01.028.
- Hinchliffe R. J., Forsythe R. O., Apelqvist J., Boyko E. J., Fitridge R., Hong J. P. et al. Guidelines on diagnosis, prognosis, and management of peripheral artery disease in patients with foot ulcers and diabetes (IWGDF 2019 update). Diabetes Metab Res Rev. 2020;36(S1):e3276. doi: 10.1002/dmrr.3276.
- Faglia E. Characteristics of peripheral arterial disease and its relevance to the diabetic population. Int J Low Extrem Wounds. 2011;10(3):152–166. doi: 10.1177/1534734611417352.
- Gershater M. A., Löndahl M., Nyberg P. Larsson J., Thörne J., Eneroth M. et al. Complexity of factors related to outcome of neuropathic and neuroischaemic/ischaemic diabetic foot ulcers: a cohort study. Diabetologia. 2009;52(3):398–407. doi: 10.1007/s00125-008-1226-2.
- Schaper N. C., Andros G., Apelqvist J. Bakker K., Lammer J., Lepantalo M. et al. Diagnosis and treatment of peripheral arterial disease in diabetic patients with a foot ulcer. A progress report of the International Working Group on the Diabetic Foot. Diabetes Metab Res Rev. 2012;28(S1):218–224. doi: 10.1002/dmrr.2255
- Conte M. S., Bradbury A. W., Kolh P. White J. V., Dick F., Fitridge R. et al. Global vascular guidelines on the management of chronic limb-threatening ischemia. J Vasc Surg. 2019;69(6S):3S-125S.e40. doi: 10.1016/ j.jvs.2019.02.016
- Taylor G. I., Palmer J. H. The vascular territories (angiosomes) of the body: experimental study and clinical applications. Br J Plast Surg. 1987;40(2):113–141. doi: 10.1016/0007-1226(87)90185-8.
- Caetano A. P., Vasco I. C., Gomes F. V., Costa N. V., Luz J. H., Spaepen E. et al. Successful Revascularization has a Significant Impact on Limb Salvage Rate and Wound Healing for Patients with Diabetic Foot Ulcers: Single-Centre Retrospective Analysis with a Multidisciplinary Approach. Cardiovasc Intervent Radiol. 2020;43(10):1449–1459. doi: 10.1007/s00270-020-02604-4.
- Dormandy J. A., Rutherford R. B. Management of peripheral arterial disease (PAD). TASC Working Group. TransAtlantic Inter-Society Consensus (TASC). J Vasc Surg. 2000;31(1 Pt 2):S1–S296.
- Mayor J. M., Valentin W., Sharath S., Barshes N. R., Chung J., Kougias P. et al. The impact of foot infection on infrainguinal bypass outcomes in patients with chronic limb-threatening ischemia. J Vasc Surg. 2018;68(6):1841–1847. doi: 10.1016/j.jvs.2018.04.059.
- Forsythe R. O., Jones K. G., Hinchliffe R. J. Distal bypasses in patients with diabetes and infrapopliteal disease: technical considerations to achieve success. Int J Low Extrem Wounds. 2014;13(4):347–362. doi: 10.1177/1534734614546951.
- Hinchliffe R. J., Brownrigg J. R. W., Andros G., Boyko E. J., Fitridge R., Mills J. L. et al. Effectiveness of revascularization of the ulcerated foot in patients with diabetes and peripheral artery disease: a systematic review. Diabetes Metab Res Rev. 2016;32(S1):136–144. doi: 10.1002/dmrr.2705.
- Ponukumati A. S., Krafcik B. M., Newton L., Baribeau V., Mao J., Zhou W. et al. Association between tissue loss type and amputation risk among Medicare patients with concomitant diabetes and peripheral arterial disease. J Vasc Surg. 2024;80(5):1543–1552.e12. doi: 10.1016/j.jvs.2024.06.019.
Arquivos suplementares





